21.06.2018. ir mana tēta 64. dzimšanas diena. Lai arī viņa pasē ir norādīts cits datums, tomēr īstā diena ir tieši 21.jūnijs, kas ir arī mana dēla Emīla vārda diena. Šogad izvēlos svinības par labu tētim un viņa pierunāta dodos uz saviem pirmajiem veterānu mačiem Latvijas simtgades zīmē, kas notiek Jelgavā. Esmu pieteikta 3000m stadiona skrējienam Jēkabpils komandas sastāvā.
Esmu ļoti uztraukusies par to, jo negribu darīt negodu dzimtās pilsētas komandai, kā arī skaidri zinu, ka man nav ne jausmas, kā tik īsas distances jāskrien, bet pierunāties esmu ļāvusies. Izskrienu savu treniņu Rīgā, AB dambī – nodrillēju kārtīgus 200m intervālus. Pēc treniņa pulkstenī izlec prieciņš – mans VO2 max atkal ir pakāpies, un labā noskaņojumā ar Mežezera pudeli padusē ierodos Jelgavas stadionā, kur atklāšanas parāde jau notikusi, un sportisti gaida atklāšanas balli ar dzīvo mūziku. Vējš pamatīgs, bet mēs sēžam siltā nojumītē un dzeram ar tēti Mežezeru, un piekožam klāt svētku kliņģeri. Pārējos komandas biedrus nepazīstu, bet tas man nekad nav bijis šķērslis ātri ar kādu iedraudzēties un veidot sarunu. Citās komandās gan draugu netrūkst – gan foršie liepājnieki, gan citas Vāveres vīrs, gan mana trenera Aigara Matisona audzēkņi. Kāda konkurente gan nošņāc: “Ko Tu dari stadionā?”, bet uztveru to kā draudzīgu apsveicināšanos. Vīrs man ir pieteicis kārtīgi izgulēties un lieliski nostartēt, tomēr īsti gulēt netieku, jo nezinu, kur atrodas viesnīca, kā arī šķiet nepieklājīgi tik ātri doties gulēt, kad tikai tik tikko esmu ieradusies, un nav jau arī gluži maratons jāskrien, bet gan tikai 3000m. Draudzīgi čalojot, nejauši iepazīstos ar savu istabas biedreni, saku, ka labprāt dotos uz viesnīcu, un man par prieku arī viņa labprāt jau dotos pie miera, lai rīt varētu kārtīgi nostartēt.
Tētis man kārtīgs ballētājs, un ļauju viņam, lai izdejojas kārtīgi, bet mēs iesim gulēt. Viens no komandas biedriem to izdzirdējis iesaucas: “Kā tad mūsu tradīcija visiem kopā nodejot vienu deju?! Nevar iet gulēt pirms tās!”. Ok, kas tad ir viena deja – tas tak neko nemainīs, un es ļaujos pierunāties. Mirkli vēlāk kaut kas notiek manā galvā – es pēkšņi saprotu, ka es tos 3000m varu noskriet ļoti labi. Es, četrdesmit gadus veca grāmatvede, varu noskriet maratonu zem 3:30, nav slikti, sasodīts, nav slikti! Pēkšņi es jūtos tik ļoti pārliecināta! Pievienojos komandai dejā dziesmas “Nāk, nakts un pie debesīm parādās zvaigznes, nāk, nakts..” pavadībā, bet mirkli vēlāk – auč, es esmu gar zemi, jo kaut kā, mēģinot izvairīties no dejā aizrauta vīrieša, kurš man tuvojās, neveikli piezemējos uz asfalta. Jūtos sasodīti muļķīgi, bet aši pielecu kājās – man viss kārtībā, nodejoju deju līdz galam, eju maliņā apsēsties. Man viss ir labi, bet tai pat laikā nav. Saku tētim, lai ejam uz to sasodīto viesnīcu. Izrādās, ka tā ir nieka kilometra attālumā. Ejam, bet tētis ar manu istabas biedreni soļo varen braši – varētu padomāt, ka viņiem 18 gadu. Es sāku saprast, ka netieku līdzi, jo kāja ne visai grib draudzēties ar pieskaršanos zemei, bet es braši turos un tēloju, ka man viss ir labi! Tētis mierina, ka viss būs labi, jo neskaitāmas reizes volejbolā viņam tā ir gadījies. Iedomājoties par botām, kas man rīt jāvelk, mana pārliecība sašļūk, jo esmu aizņēmusies no Anetes sacensību apavus, kas man der kā uzlieti, bet ne vairāk. Pēdu pat ar visniecīgāko uzpampumu tur iekšā nedabūt. Kārtīga meita, klausu tēti un ceru, ka rīt skriešu. Novelkot apavus, aina vairs tik rožaina nerādas, jo vairāk kāja tikusi brīvībā, jo zilāka un lielāka tā paliek. Sasmērējam aukstumiņus un ejam gulēt. Nav tā, ka man sāp neizturami, bet aizmigt es nevaru, vairākas reizes ceļos augšā, bet nu vairs tikai uz vienas kājas. Nezinu, kas mani varētu piespiest pielikt kāju pie zemes, katra šūna brēc – tikai ne to. Pārvietojos lēkšus. Ap pieciem no rīta saprotu, ka man vajag traumpunktu. Google maps rāda, kas tas ir 1 km attālumā, tāpēc apņēmīgi dodos koridorā, bet pēc trim lēcieniem saprotu, ka nebūs, jo arī lejā pa kāpnēm es netieku. Negribas nevienu modināt, tāpēc nolemju gaidīt rītu un Inu, kas no rīta noteikti dosies uz Rīgu strādāt. Nolemju, ka braukšu ar viņu un došos uz ARS cerot, ka tur būs mazākas rindas kā Duntes ielā. Joprojām neesmu uzrakstījusi vīram nevienu rindiņu par notikušo. Es neizsakāmi viņu mīlu, bet šobrīd jūtos viņu tik ļoti pievīlusi, ka gandrīz baidos.
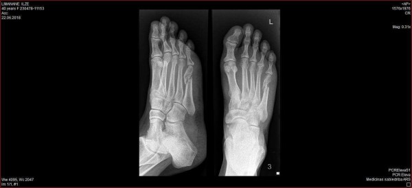
Esam ar Inu ceļā uz Rīgu, kad vīrs man uzraksta laba starta vēlējumus. Tad gan saprotu, ka ir jāatzīstas. Nosūtu bildi ar savu zili sapampušo kāju un tekstu, ka paskaidrojumi būs vēlāk, bet šobrīd man ir nepieciešams nokļūt no Riga Plaza, kur Ina mani laipni izsēdina, uz ARS. Izrādās – es pati nemaz neprotu izsaukt taksi, nu vismaz ne šādās situācijās. Vīrs to izdara manā vietā, taksists gan ir visai apmulsis vīrieša vietā ieraugot lēkājošu blondīni ar basu kāju, bet tas tomēr neattur viņu nogādāt šo “nelaimes putnu” ARS. Ielēkšoju traumu kabinetā, un daktere, uzmetot paviršu skatienu, paziņo – lauzts! Jūs jokojat???!!! Nevar būt lauzts, es taču nodejoju deju līdz galam, nogāju vienu kilometru līdz viesnīcai, nomocīju nakti, man nav nenormālu sāpju un, ja būtu lauzts, tad es noteikti zinātu! Daktere laikam šādus pacientus ir atklausījusies un bez ceremonijām mani nosūta uz rentgenu, bet māsiņai liek gatavot ģipsi. Ieejot kabinetā pēc rentgena, dakteres monitorā es redzu savus pēdas kauliņus, tur pat ārsta izglītību nevajag, lai redzētu, ka ir 100% lauzts! Izplūstu asarās un saku, ka man pēc nedēļas jāskrien Vilkaču maratons. Nebūs, viņa saka, bet labāk būtu klusējusi. Šogad nebūs! Viņa izraksta man cedelīti uz operāciju un silti iesaka to veikt līdz Līgo svētku traumas nogāžas pār Duntes ielas traumpunktu. Bāc, kādu vēl operāciju… Tomēr izrādās – lūzums ir visai sarežģīts, un atdalīti kauli savā starpā nesaug, nepieciešams tos savilkt kopā. Nopērku kruķus un visai šokēta sēžu ARS koridorā ar skaistu, baltu langeti uz kājas. Es brīdi apmulstu un nesaprotu, kas tagad ir jādara. Ir skaidrs, ka nepieciešama operācija. Laikam jābrauc uz Duntes ielu, bet, kā tas viss galu galā notiks, man īsti skaidrs nav. Metu kaunu pie malas un piezvanu savai kolēģei, kuras vīrs ir ārsts. Paralēli, pateicoties Alīnas superspējām, no mana rentgena CD diska tiek izvilinātas bildes, kas der nosūtīšanai telefonam saprotamā formātā. Tikmēr arī mani vīrieši ir tikuši prom no darbiem un ir gatavi mani aizvizināt uz jebkuru slimnīcu Rīgā. Tomēr viņu sejās redzams manāms neslēpts šoks. Mašīnā, kamēr sēžam un gaidām ārsta rīkojumus, ko darīt tālāk, valda neveikls klusums. Mani nav piemeklējusi baisa slimība, man nav liegta spēja kustēties, bet tomēr ir skaidrs, ka šis notikums mainīs mūsu vasaras plānus visai nopietni.

Pirmais rentgens
Tagad neliela atkāpe par to, kāpēc šis bloga ieraksts top. Vēlos piefiksēt tās labās lietas, ko izdarīju pareizi, bet arī neaizmirst par kļūdām jeb, ko vajadzēja darīt citādāk. Ļoti ceru, ka nevienam šis raksts nenoderēs, bet diemžēl jau esmu sastapusies ar līdzīgiem gadījumiem, kad ar saviem padomiem esmu varējusi kādam palīdzēt tikt ātrāk atpakaļ uz abām kājām.
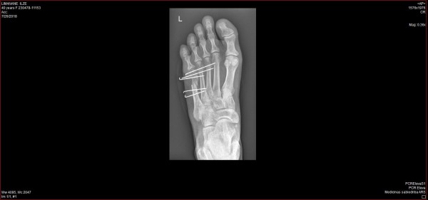
Esam nonākuši līdz pirmajai kļūdai – neej ārā no ārsta kabineta, ja kaut ko nesaproti! Man nav neviena pārmetuma, ko veltīt medicīnas nozares darbiniekiem, jo savā atveseļošanās procesā saņēmu lielisku aprūpi visās medicīnas iestādēs, ko nācās apmeklēt. Tomēr neviens dakteris nevar uzminēt to, ka man kaut kas nav skaidrs, ja to nepajautāju, bet visu laiku māju ar galvu. Par laimi šo kļūdu, kā jau iepriekš minēju, veiksmīgi laboju ar zvanu savai kolēģei. Tagad es zinu, ka šāda operācija ir jāveic vai nu uzreiz (pirmo 24 h stundu laikā) vai kad tūska ir nogājusi, tātad teorētiski varēju to darīt arī pēc Jāņiem. Tā kā man gribējās pēc iespējas ātrāk sākt atveseļoties, tad jau plkst. 16:00 esmu Gaiļezera uzņemšanā un 19:00 jau uz operāciju galda. Operācija ilgst tieši tik, cik man vajag pusmaratona noskriešanai jeb nedaudz zem 1:40h. Tieku pie 5 jauniem pīrsingiem – jā, man no pēdas ārā spīd pieci glīti āķīši, kas nozīmē, ka turpmākās 5 nedēļas nedrīkstēšu kāju pakļaut samērcēšanai un būs jāveic pārsiešana divas reizes nedēļā, jo ievietotās stieples prasa ļoti rūpīgu kopšanu. Ķirurgs sola, ka pēc nedēļas varēšu nomainīt langeti pret speciālu kurpi, kas slogos kājas pēdu tā, ka varēšu saudzīgi staigāt, nenoslogojot lauzto vietu, bet saglabājot iešanu, kas nozīmē, ka nezudīs muskuļu funkcionalitāte.

Stieples, kas palīdz kauliņa saaugšanai
Šajā vietā būtu īstais brīdis stāstam, ko darīt, lai nepazustu muskuļi, un vai tiešām 5 nedēļu laikā tas varētu notikt?
Izrādās tas notiek vēl ātrāk, jo es pavadīju tikai vienu nedēļu ar ģipsi, bet, jau pārejot no lekšanas atpakaļ uz staigāšanu, tas uzreiz nemaz tā nevedās. Māsiņa liek uzvilkt kurpi un iet, bet tas nemaz tik vienkārši nepadodas. Lai arī viņas kabinetā to izdaru visai braši, tomēr nonākot durvju otrā pusē, atjēdzos, ka nemaz tā nesanāk, jo ir bail un sāp. Izrādās, ka visas saites, asinsvadi sāk zaudēt savas normālas darbības spējas. Par sāpēm parunāsim vēlāk.
Par to, kas būtu jādara uzreiz un ko es nedarīju. Es domāju, ka palīdzība pie fizioterapeita būs jāmeklē vien tad, kad stieples būs noņemtas un sākšu staigāt bez palīglīdzekļiem, tomēr, iespējams, ka vienkāršāk būtu uzreiz meklēt kāda speciālista palīdzību, ar ko kopā izdzīvot visu atveseļošanās procesu. Tomēr arī es tik vieglprātīgi nepiegāju šim procesam, jo skaidri zināju, ka gribēšu maksimāli ātri atgriezties trasē. Man talkā nāca Youtube un Pinterest. Es vingroju apmēram 4 reizes nedēļā, izpildot vingrinājumus gan uz paklājiņa, gan sēžot uz krēsla. Lai arī cik dīvaini tas neliktos, bet iekļāvu arī cardio treniņus savos treniņos. Augstākais pulss, ko spēju sasniegt, bija 157 – nav slikti, sēžot uz krēsla. Uzdevumi sastāvēja no muguras, preses un dibenu muskuļu stiprināšanas, neļāvu saviem hamstringiem astlābt. Principā vienīgais, ko es nenodarbināju, bija lauztā pēda un tās kājas ikra muskulis. Lai arī planki un atspiešanās tagad bija jāveic no saliektu ceļu pozīcijas, bet to es iemācījos veikt tā, ka ieguvu vēl lielāku efektu, nekā veicot ar iztaisnotām kājām. Šis būtu pats svarīgākais, kas jāatceras – nepazaudēt kustību prieku. Asinscirkulācija noteikti veicināja dzīšanu un ātrāku atveseļošanos, jo organisms, kurš pieradis pie slodzes, noteikti jutīsies slikti bez tās. Es domāju, ka tieši vingrošana man ļāva saglabāt pozitīvu un mundru garastāvokli visas šīs piecas nedēļas. Tāpat es arī esmu pārliecināta, ka bez tās es nebūtu tik ātri atgriezusies atpakaļ ierindā.

Cardio treniņš uz krēsla
Piecu nedēļu kaulu saaugšanas periods bija beidzies, un es devos pie ķirurga izņemt savus “pīrsingus”. Izrādās, ka tas notiek bez anestēzijas, bet zināju, ka man ir augsts sāpju slieksnis. Galu galā izrādās, ka biju vairāk sabiedēta nekā tas bija nepieciešams. Man procedūra pārāk nemaz nesāpēja, bija tikai jocīgi, ka izvelk tādus garus kātiņus no pēdas. Kontrolrentgens parādīja, ka viss ir kārtībā, lai gan nedaudz bija nobīdes no gribētā, bet nekas daudz, tā kā varēja teikt, ka esmu labi uzvedusies un stieples neesmu izkustinājusi no vietas. Pēc pusotras nedēļas bija jāsāk staigāt.
Šis ir īstais brīdis parunāt par sāpēm. Gluži kā dzemdību sāpes aizmirstas, tad arī šobrīd jau liekas, ka nu tik traki jau nebija, bet man par laimi ir Vāveru čats, kurā palūrēt, cik bieži esmu čīkstējusi par nepārtrauktām sāpēm. Jā, tās nebija briesmīgas, bet tomēr visu laiku klāt esošas. Mums bija lieliska vasara, ar superīgu karstumu, bet tas arī veicināja diezgan lielu tūsku manai pēdiņai. Praktiski visu laiku biju spiesta staigāt ar teipiem tūskas mazināšanai. Atceros nedēļu, kad vairs nespēju izturēt un ķeros pie pretsāpju līdzekļiem, kas par laimi arī mazina tūsku. Te gan jāņem vērā, ka, ja sāpes nav asas, tad no tā nevajag baidīties, katra jauna lieta, ko liku pēdiņai klāt, nāca caur vieglām sāpēm, bet noteikti ne asām. Lai arī centos stiprināt savu muguru daudz vingrojot, tomēr nemitīgā klibošana veicināja arī visai lielas sāpes muguras jostas daļā, tāpēc noteikti būtu bijis labāk, ja man būtu vairāk palīdzējis fizioterapeits.
Arī es bez fizioterapeita neiztiku, jo par laimi turpat pie mājām – pāri ielai strādā lieliskā Kristīne. Es sevi pazīstu un zināju, ka nespēšu pati sākt spert pirmo soli, man vajadzēja palīdzību. Tev viss ir kārtībā, bet prāts atsakas sadarboties, un tev ir bail spert pirmo soli. Kristīne ir viltīgāka par manu prātu, mēs apskatām daudz un dažādus pēdu vingrinājumus, paceļamies, pietupjamies, pastiepjamies un pēc piecām minūtēm es jau eju. Jā, tieši tik vienkārši viņa prot. Es pat nemanīju, kā tas notika, un milzīgs paldies Kristīnei par to. Paldies arī par miljons vingrojumiem, kas pacietīgi jāpilda, lai pēda atjaunotu savu darbību. Pēc sešām ar pusi nedēļām pēc neveiklā deju vakara es atsāku staigāt. Arī šajā periodā sāpes vēl ir klātesošas, sevišķi muguras. Viena no grūtākajām lietām bija atteikties no klibošanas, jo man nekas nekaiš, bet klibošana saglabājās vēl diezgan ilgu laiciņu. Kā sev palīdzēt? Atbilde ir visai vienkārša – vingrošana, pacietīga vingrošana un vēlreiz vingrošana. Iešana uz pirkstgaliem, iešana uz pēdu ārmalām, iekšmalām, lupatiņu burzīšana, vecais labas zosu gājiens, nekā sarežģīta, bet tas prasa daudz pacietības!

Ar skaistu zābaciņu un Vāverēm Vilkaču maratonā
Pēc divām nedēļām, kad būs pagājuši tieši 2 mēneši, drīkst atsākt skriet. Šajā laikā mums bija paredzēta improvizēta treniņu nometne Slovākijas Tatros, bet izdodas lielisks ģimenes ceļojums, kur foršajās taciņās arī atsāku skriešanu. 2.5 km, 3 km ir distances, ko spēju pieveikt, esmu ļoti lēna un kliba, pirmais km ir murgs, bet ar katru reizīti paliek aizvien labāk, bet tas prasa diezgan lielu pacietību. Man tā ir – es varu iekosties ar zobiem un nelaist vaļā, līdz tas nav izdarīts! Es zinu, ka tikšu galā. Atsākot skriešanu, pamanu savā Garmin vienu ļoti noderīgu “fīču” – ground contact time, jo tādējādi varu sekot līdzi tam, kā mana kāja atgūstas un atgriežas ierastajā ritmā. Ar septembri arī atsāku sadarbību ar savu lielisko treneri Aigaru Matisonu, vajadzēja atgriezties pie darba plāna, bet tad vēl viens pārsteigums! Visus 2 mēnešus esmu sapņojusi, kā nu tik skriešu un cītīgi vingrošu, 4 skriešanas treniņi, 2 vingrošanas, kārtīgs ēšanas režīms bez liekām kalorijām. Tomēr, kad esmu nonākusi gandrīz līdz kaut kādam stabilam grafikam, viss tā vien prasās jukt ārā pa vīlēm. Es ēdu daudz par daudz, pieņemos svarā daudz vairāk nekā traumas periodā, vingrošanas grafiks ir nekāds, man nekas nesanāk, man nav motivācijas mīties līdz sporta klubam, vienīgi skriešanas treniņus praktiski neizlaižu, varbūt kādus 2-3, bet tie, kas mani pazīst, zina, ka tas manā gadījumā ir daudz. Es vienkārši nevaru atgriezties ritmā, man nav gandarījuma par paveikto, man nav sajūtas, ka es trenējos. Šķiet, atbilde ir pavisam vienkārša – man nesanāk, man nesanāk tā, kā sanāca pirms traumas. Mans ķermenis vairs nav tāds, kāds tas bija 21.06., es jūtos novecojusi.
Man par laimi mana veiksmīgā izglābšanās būs arī šoreiz! 18.06 es nopirku dalību Dalmacija Ultra Trail 53km ar 2326 augstummetriem, pasakaini skaistā valstī ar nejaukiem akmeņiem. Es zinu, ka nebūs viegli, jau tad, kad pērku dalību, bet mērķis man ir liels – sagatavoties tā, lai iegūtu pietiekami daudz punktus dalībai pasaules čempionātā takās, kā arī, lai varētu atgūties pēc neveiksmīgā starta pagājušo reizi, kas noslēdzās ar nepatīkamu DNF. Zīmīgi, ka dalību nopērku vien 3 dienas pirms liktenīgās dejas, praktiski visu vasaru domāju, ka uz šo skrējienu braukšu vien kā grupas vadītāja, jo esam kompānija 9 cilvēku sastāvā, no kuriem dažiem šī būs pirmā pieredze šādās sacensībās. Kādā fizioterapeita vīzītē kautrīgi apjautājos: “Varbūt tomēr drīkst?”. Saņemu nepārprotamu: “Nē, nedrīkst!”. Šeit mani atkal nošokēja Dainis, kurš parasti ir ļoti prātīgs attiecībā pret manu drošību un veselību, sakot – ehh, viņš (fizioterapeits) tak nav skrējējs, skrien, būs labi! Tas mani mudina apjautāt citus pazīstamos fizioterapeitu. Ir tādi, kas saka, ka, ja Buku noskrēji, tad noteikti arī šo noskriesi! Divas nedēļu pirms izbraukšanas noķeru iesnas, un mana kolēģe negrib saslimt, tāpēc piezvana savam vīram ārstam, kuram man jāizstāsta, kā ātri atveseļoties. Es tā vietā uzdodu viņam pavisam citu jautājumu – kas var ļaunākais notikt, ja Horvātijā skriešu 53 km? Un ziniet, ko viņš atbildēja – tu vari salauzt kāju vēlreiz, bet nekas, tu skrien, skrien, mēs tev viņu atkal vietā saliksim! Ehhh, šie jautrie ķirurgi! Izrādās kauls pilnībā sadzīs divu gadu laikā, tā kā risks būs, bet tas tomēr nav tik liels, lai neskrietu vispār. Tā nu es pieņemu lēmumu skriet un apsolos, ka, ja jutīšu sāpes, tad uzreiz stāšos ārā. Kontrolpunkti ir ik pēc 8 km, kontrolpūķis saudzīgs, kompānija lieliska, laika apstākļi izcili – ir viss, lai darītu to! Es to izdarīju! Es finišēju! Tagad ir sajūta, ka viens posms manā dzīvē ir noslēdzies, es vairs nejūtos novecojusi, es jūtos lieliski!

Priecīgais finišs Omišā
Svarīgākās atziņas – nepārtrauc kustēties, pat, ja vari pakustināt tikai atsevišķas ķermeņa daļas, tad dari to! Saglabā optimismu, nebaidies lūgt palīdzību, jo cilvēki ir atsaucīgi! Atbildes rodas tad, kad jautā! Tomēr atceries, ka katrs mēs esam citāds, un neviens Tev precīzi nevarēs pateikt, kurā brīdī varēsi pilnvērtīgi atsākt skriet vai staigāt, jo diemžēl neviens neredz tev cauri, un arī kontrolrentgens nepalīdz, jo jaunie kaulu audi ir vēl mīksti, tāpēc tie rentgenā neparādās. Ir jāmācās ieklausīties sevī, atšķirt sāpes, un ir lieliski, ja tev blakus ir speciālists, kurš tevi vada šajā procesā, bet, ja nav, tad jāpaļaujas uz saviem spēkiem! Pats svarīgākais – ja gribi uzvarēt, tad mācies būt pacietīgs!


km
-
Nezinu, kā bija ar tām sāpēm, bet tavs šis vasaras optimisms nebija nepamanāms. Tu staroji! Lai sportiski panākumi nākamajā sezonā!
Prieks par tavu mūžīgo optimismu. Tagad precīzi zinu pie kā iet (klibot) pēc konsultācijas. Man vēl viss priekšā… Mums, atkarīgajiem, nekas nevar atturēt no skriešanas.
Lieliski. Dzīvoju līdzi visam stāstam :)
Ilze, paldies par uzrakstīto! Tu nudien esi darba rūķis un varena motivācija! Ja tā padomā, cik daudz es esmu pārdzīvojusi par savām traumām… Viss ir iespējams ar pareizo attieksmi. ? Lai Tev lieliska nākamā sezona!
Pat ļoti motivēta jauniete. Un apraksts gana spraigs. Apsveicu ar atgriešanos trasē! Atzīšos, ka no sākuma pat neticēju, ka tā iespējams atgadīties
Iedvesmojoši :). Paldies tev.
Labs pieredzes stāsts.
Izlasīju vienā elpas rāvienā. Iedvesmojoši. Paldies, ka padalījies ar pieredzi.
Es biju šokā par to, ka tev ir 40 gadu. Pat pārbaudīju. Kurā vietā? :D
Prieks, ka mācēji atlabt, un apbrīnoju cītīgo vingrošanu! Pilnībā piekrītu, ka jāsaglabā kustēšanās. Ja nevar kaut ko vienu, tad var kaut ko citu! :)
Varens darba apjoms atlabšanas periodā ;)
❀